- Feb
01
2017 - 152
- 0
Epilepsy since childhood, curable?
20 year-old male, with intractable epilepsy since childhood.
Had Brain CT 5 yrs ago without evidence about the etiology of chronic long term intractable epilepsy.
He is dependent on anti-epileptic drugs, perhaps still not completely free of seizure attacks.
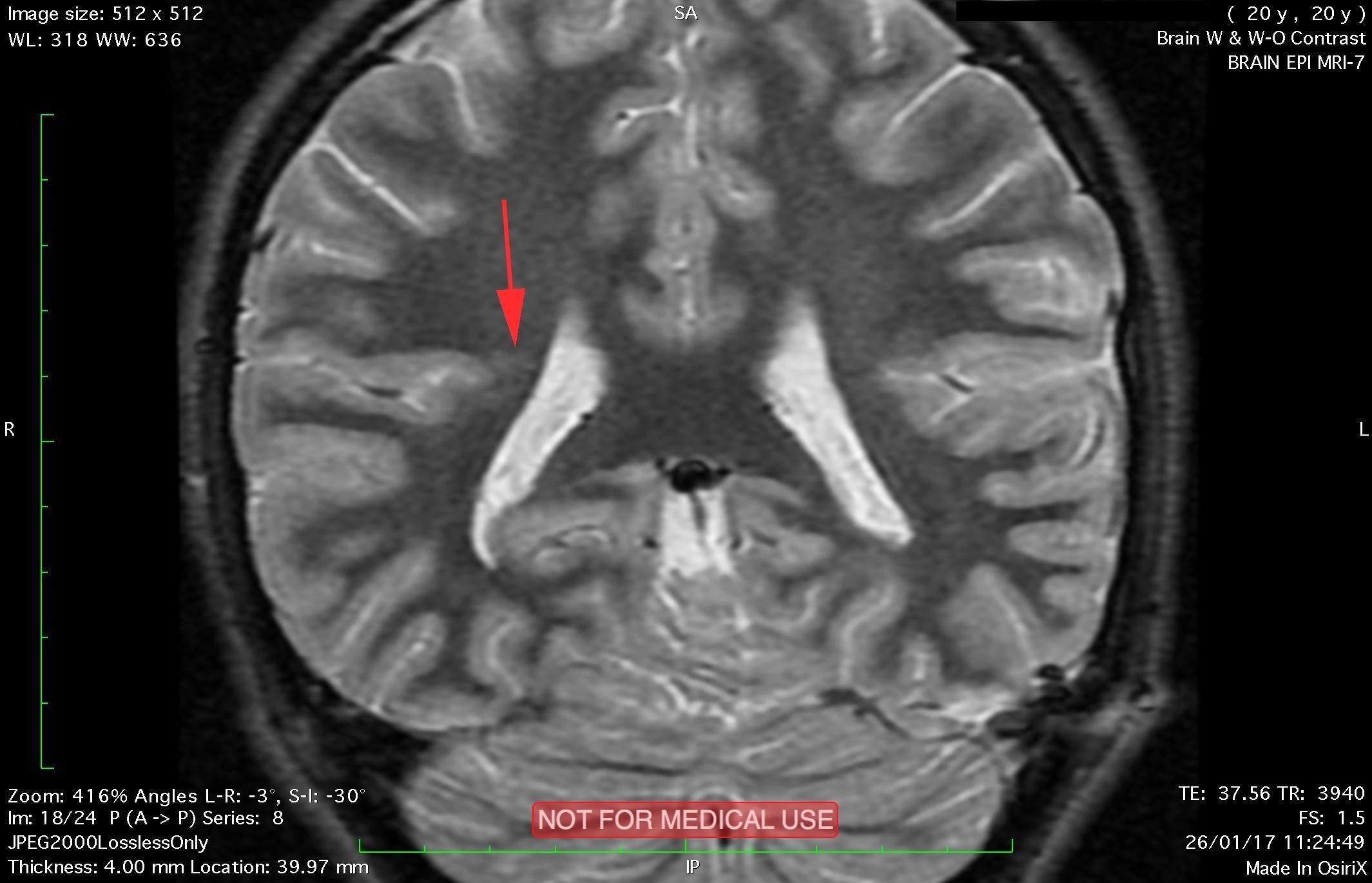
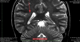
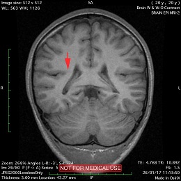
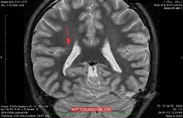
This recent MRI exam WITHOUT Contrast in IHC, revealed a subtle congenital malformation of cortical development within right parietal lobe.
Final IMPRESSION is:
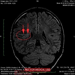
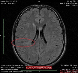
A subtle linear band intensity extending between deep posterosuperior aspect of right Sylvian fissure and posterior aspect of corpus of right lateral ventricle (isointense with gray matter on all sequences). These MRI findings strongly suggest "Type II (Taylor type) focal cortical dysplasia (transmantle cortical dysplasia)" or "transmantle gray matter heterotopia". Virtually, they may be representing two different names for the same entity.
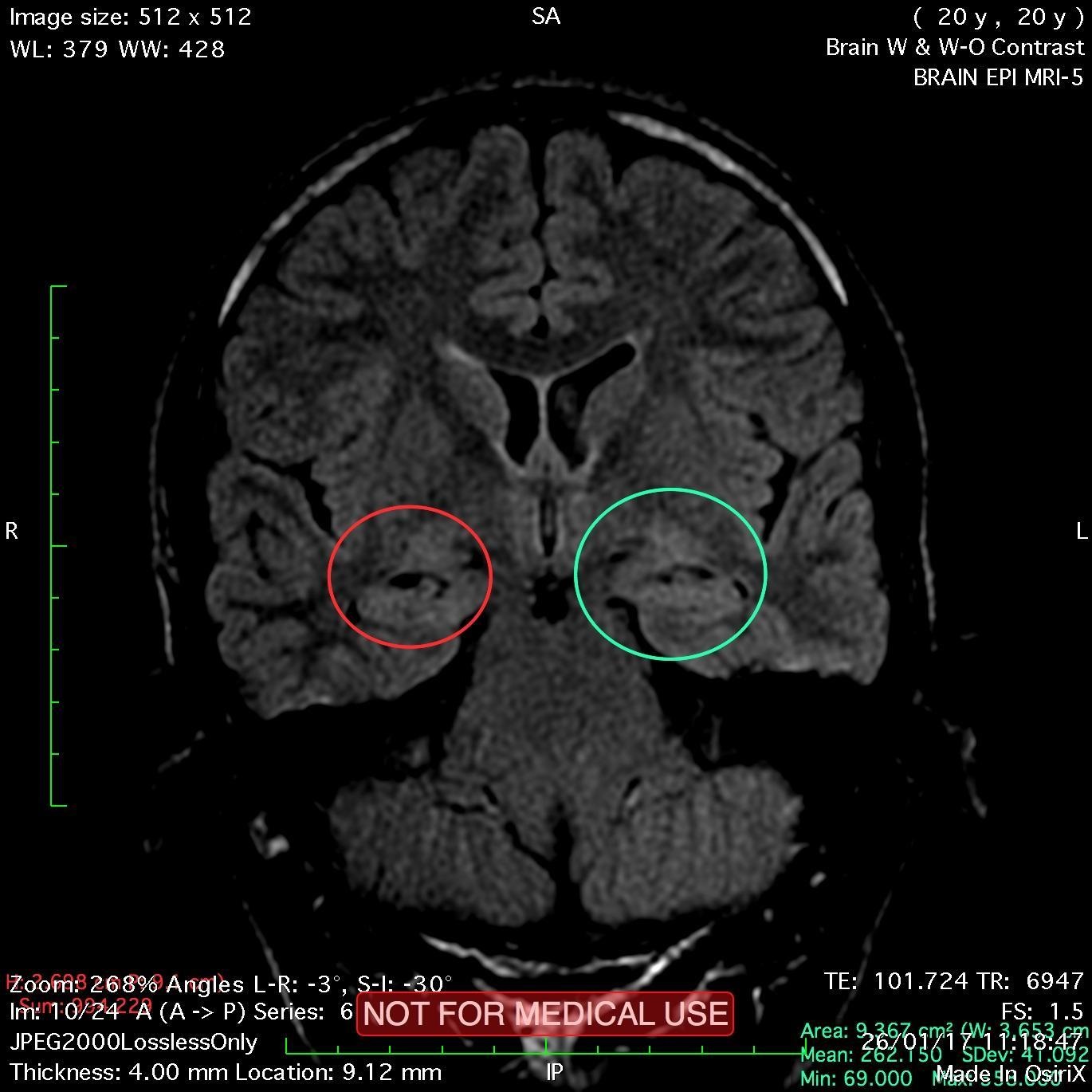
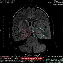
Secondary hippocampal sclerosis is identified, bilaterally (secondary to long-term intractable epilepsy).
Good news is, this congenital malformation has an excellent prognosis following a competent surgical excision of the malformed area, and a "completely seizure-free life" may be granted subsequently. Depending on clinical results, this young patient may no longer be dependent on life-time anti-epileptic medications.
