- Jan
10
2018 - 1523
- 5
How do we achieve maximum patient care
Patients are the primary focus in IHC. As a radiology imaging center committed to provide patient-focused medical care, IHC is working hard on this.
Read More- April
21
2018 - 639
- 5
Best medical imaging service in town
Commitment to quality is another primary focus in IHC, as well as the patients. As a radiology imaging center committed to provide the best medical service with highest quality, our staff is dioing their best.
Read More- July
10
2018 - 2395
- 5
Accurate report is the key for correct diagnosis
It is not only the right procedure with right equipment, but the right radiologist writing the accurate report is the key for diagnosis. To ensure the accuracy of patient reports, every detail is duble-checked.
Read More- Jan
15
2021 - 2395
- 5
MRI and its use in several medical conditions
The development of the MRI scan represents a huge milestone for the medical world. MRI (Magnetic Resonance Imaging) is a non-invasive imaging technique that does not involve exposure to ionizing radiation and isn't painful.
Read More- February
01
2017 - 152
- 5
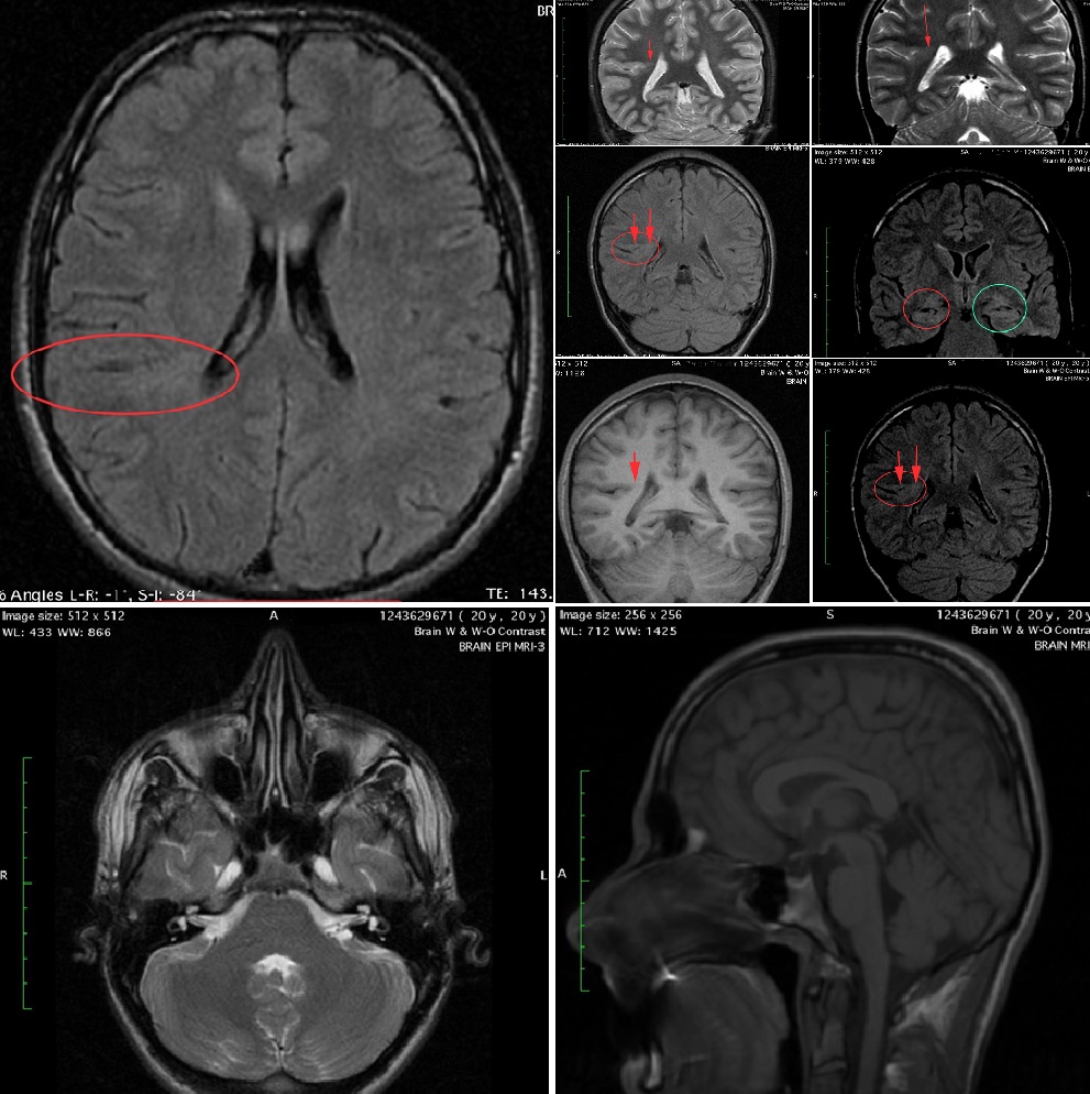
Epilepsy since childhood, curable?
See the good news to a 20 year-old male, with intractable epilepsy since childhood.
Read More



